线上服务咨询
乳牙是孩子的第一口牙齿,也最容易被忽略。人们常用花朵般灿烂的笑容来形容孩子的笑容,但是你知道吗,5-12岁儿童牙齿错颌畸形率高达71.2%。虽然乳牙会被替换,如果没有整齐健康的乳牙做支撑,恒牙的萌出和发育也会遇到各种问题。

儿牙早期矫治
儿牙早矫并非只是单纯地让孩子戴上牙套,让不整齐的牙齿排齐这么简单。背后是有一套科学且系统的儿童咬合引导管理。
大多数的孩子因为存在咬唇、伸舌、吮指、口呼吸等不良口腔习惯导致牙齿发育异常。对此年龄段的孩子在进行早期矫治时,通常是对这些不良习惯进行纠正,从而引导颌骨和牙列正常发育。

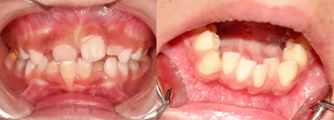
儿童错颌畸形的危害
❖影响颌面部组织的发育
典型的就是地包天,下颌过度向前发育,阻碍面部美观;
❖口腔功能出现异常
不良咬合降低咀嚼频率、增加肠胃负担,影响孩子营养的摄入;还可能引发颞下颌关节损伤、吞咽异常、阻碍发音和正常呼吸等;
❖牙齿不齐增加清洁难度
引起龋齿、牙周病等口腔疾病;
❖影响心理健康
牙齿错颌畸形影响容貌,龅牙、地包天等容易让孩子变得自卑敏感,影响社交和心理健康。

3-15岁是孩子成长发育的高峰期,骨骼重建快,可塑性较高。通过早期干预,能让孩子的牙齿咬合功能、颌骨发育、颜面能够协调发展,还能纠正孩子的不良口腔习惯,确保恒牙正常萌出,有助于孩子身心健康的发展。如果错过这个阶段,会大大增加牙齿矫治的难度!
儿牙早期矫正从几岁开始?
乳牙期阶段:3-5岁
这个时期主要适用于乳牙反颌(俗称“地包天”)的早期矫治,利于孩子上颌骨的发育。如果孩子有伸舌、咬唇等不良习惯,在这个阶段可以得到纠正,以免错颌的发生。
替牙期阶段:5-12岁
孩子在替牙期,颌面部生长发育较快、口腔组织可塑性好。此时进行牙齿矫正,主要是利用孩子牙齿的自然生长趋势,通过引导颌面部骨骼的生长,还可以帮助调整孩子不协调的面型,让孩子的颜面发育得越漂亮。

恒牙期阶段:11-15岁
在这个时期,孩子的牙齿已替换完,骨骼基本定型,一般常见的错颌畸形在这个阶段,还可以得到比较好的干预。
儿牙早期矫治其实很简单,孩子只需每天白天坚持佩戴两小时左右,夜间持续佩戴,搭配口腔科张晓竹主任专业设计的儿牙早期训练操,很快就能看到矫治效果。早期矫治器都是个性化定制的,匹配度高,佩戴起来也很舒适,让小孩子愿意佩戴,也更容易坚持佩戴。
小树易扶,大树难正
小树苗只要轻轻地加以引导
就能往正确的方向生长
宝宝的牙齿也是这样

儿童牙齿早期矫治
不仅是追求美观
恢复牙齿正常咀嚼功能
实现口腔健康才是最终目的
家长一定要足够重视
尽早带宝宝进行口腔检查
以免错过矫正黄金期





专家支招:人生不同阶段口腔健康如何维护?
如何抵御“沉默的杀手”?
婴幼儿口腔保健知识,孕妈妈们快学起来
健康护口腔,快乐促成长
口腔溃疡经常反复发生,或与这7种疾病有关
健康教育丨与其受牙疼的罪,不如做好这4件

